Metamorfozy
Twoja metamorfoza uśmiechu z Evadent
W Evadent doskonale wiemy, że każdy uśmiech jest inny i wymaga indywidualnego podejścia. Dlatego każda metamorfoza uśmiechu poprzedzona jest szczegółową konsultacją oraz dokładną diagnostyką. Nasz dentysta w Wrocławiu analizuje nie tylko stan zębów, ale również proporcje twarzy, linię warg oraz oczekiwania pacjenta. Dzięki temu możemy zaplanować leczenie, które będzie nie tylko estetyczne, ale również w pełni funkcjonalne i bezpieczne. Piękny uśmiech to nie tylko estetyka, ale przede wszystkim pewność siebie naszych pacjentów.

Wielu pacjentów przez lata odkłada decyzję o leczeniu estetycznym, obawiając się bólu, wysokich kosztów lub długiego czasu terapii. Tymczasem współczesna stomatologia oferuje rozwiązania, które są szybkie, mało inwazyjne i przewidywalne. Często już kilka wizyt wystarczy, aby przeprowadzić spektakularną metamorfozę uśmiechu i przywrócić radość z codziennego uśmiechania się.
Naszym celem jest nie tylko poprawa wyglądu zębów, ale także zdrowia całej jamy ustnej. Nasi dentyści w Evadent zwracają szczególną uwagę na prawidłowy zgryz, stan dziąseł oraz trwałość wykonanych prac. Piękny uśmiech musi iść w parze ze zdrowiem – tylko wtedy efekt będzie długofalowy.
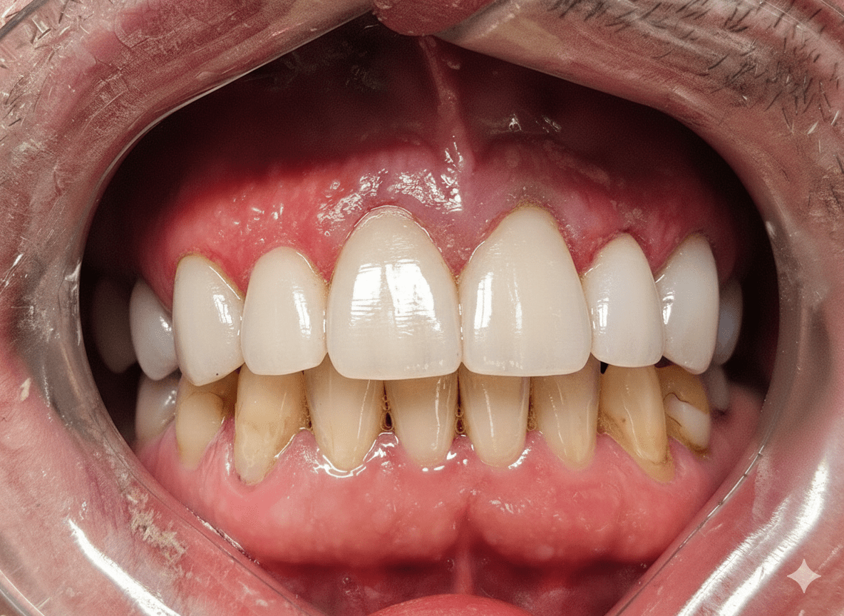
Zobacz efekty pracy naszych specjalistów poniżej.
Uśmiech, który mówi sam za siebie!


Metamorfoza uśmiechu to często połączenie kilku zabiegów – od wybielania zębów, przez bonding i licówki, aż po odbudowę startych zębów czy leczenie implantologiczne. W naszej praktyce stawiamy na nowoczesne technologie i sprawdzone materiały, które zapewniają naturalny efekt oraz trwałość na lata. Nasz doświadczony stomatolog zadba o to, aby cały proces przebiegał komfortowo i bez stresu.
Czasami drobna zmiana daje wielki efekt, a w tym przypadku zmiana jest ogromna! Zdjęcie „przed” pokazywało starte i nierówne zęby, które pacjent często ukrywał. Dzięki kompleksowemu leczeniu estetycznemu, dziś możemy podziwiać zdrowy i promienny uśmiech. Pamiętaj – na piękne zęby nigdy nie jest za późno!
Jeśli marzysz o zmianie, która realnie wpłynie na Twoje samopoczucie, metamorfoza uśmiechu może być pierwszym krokiem do większej pewności siebie – w pracy, w relacjach i na co dzień. Evadent pomoże dobrać najlepsze rozwiązanie dopasowane do Twoich potrzeb i możliwości.
FAQ:
- Jak długo trwa metamorfoza uśmiechu?
Czas trwania leczenia zależy od zakresu planowanych zabiegów. Proste procedury, takie jak wybielanie czy bonding, mogą zostać wykonane nawet podczas jednej lub dwóch wizyt. Bardziej kompleksowa metamorfoza uśmiechu, obejmująca np. leczenie ortodontyczne czy wykonanie licówek porcelanowych, może potrwać od kilku tygodni do kilku miesięcy. Podczas konsultacji z naszym dentystą przygotujemy indywidualny plan leczenia dla Ciebie wraz z orientacyjnym harmonogramem. - Czy wybielanie zębów jest bezpieczne?
Profesjonalne wybielanie przeprowadzane pod kontrolą stomatologa jest bezpieczne dla szkliwa i dziąseł. Kluczowe jest wcześniejsze sprawdzenie stanu zębów oraz wykluczenie przeciwwskazań, takich jak próchnica czy stany zapalne. Stosujemy sprawdzone preparaty i procedury, które minimalizują ryzyko nadwrażliwości. - Czy efekty są trwałe?
Trwałość efektów zależy od rodzaju wykonanego zabiegu oraz higieny jamy ustnej pacjenta. Licówki porcelanowe czy odbudowy kompozytowe mogą służyć przez wiele lat, pod warunkiem regularnych wizyt kontrolnych i prawidłowej pielęgnacji. Efekt wybielania utrzymuje się zazwyczaj od kilkunastu miesięcy do kilku lat – w zależności od diety i nawyków (np. picia kawy czy palenia papierosów).
- Ile kosztuje metamorfoza uśmiechu?
Koszt jest uzależniony od zakresu leczenia i zastosowanych rozwiązań. Proste zabiegi estetyczne to wydatek rzędu kilkuset złotych, natomiast kompleksowa metamorfoza uśmiechu obejmująca kilka procedur może wymagać większej inwestycji. Po konsultacji nasz stomatolog w Wrocławiu przedstawi Ci szczegółowy plan leczenia wraz z przejrzystą wyceną, abyś mógł świadomie podjąć decyzję.
